La parodontologie
La parodontologie est la spécialité dentaire qui s’intéresse à la prévention, au diagnostic et au traitement des maladies affectant les tissus de soutien de la dent, comme la gencive et l’os. Elle joue un rôle clé dans le maintien d’une bouche saine et la préservation des dents sur le long terme.


Comprendre les maladies parodontales
Les maladies parodontales, aussi appelées parodontites, sont des infections chroniques qui touchent les tissus de soutien de la dent : la gencive, l’os et le ligament. Elles entraînent une destruction progressive de ces structures, avec une gravité et une vitesse variables selon les cas. Si elles ne sont pas traitées, elles peuvent conduire, à long terme, à la perte des dents. Une bonne hygiène bucco-dentaire et un suivi régulier sont essentiels pour prévenir leur apparition.
Les traitements en parodontie
La parodontie regroupe l’ensemble des soins visant à restaurer la santé du parodonte. Le traitement débute par l’élimination des bactéries responsables de l’infection, grâce à des gestes d’hygiène rigoureux, des détartrages et des surfaçages radiculaires. Dans certains cas, des interventions chirurgicales, telles que des greffes osseuses ou gingivales, peuvent être nécessaires. Une fois la maladie stabilisée, le maintien des résultats repose sur une hygiène quotidienne irréprochable et des visites de contrôle régulières.


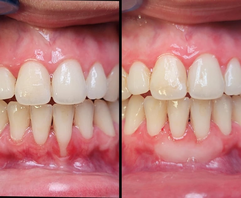
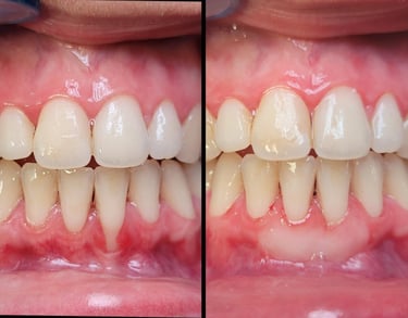
Exemple concret
Greffe gingivale réalisée pour combler une récession : la gencive est renforcée et la racine exposée est désormais protégée.
Opération réalisée par le Dr Vanessa GRAUSI.


Contact cabinet
04 67 76 46 91
Horaires
Contactez-moi
9h – 12h & 14h – 18h
Lundi – Jeudi :
© 2025. All rights reserved.
Adresse
165 avenue du maréchal Foch, 34500 BEZIERS
Vendredi :
9h – 12h
